이식형 심장 사건 기록기 (Implantable loop recorder)

이식형 심장 사건 기록기의 종류
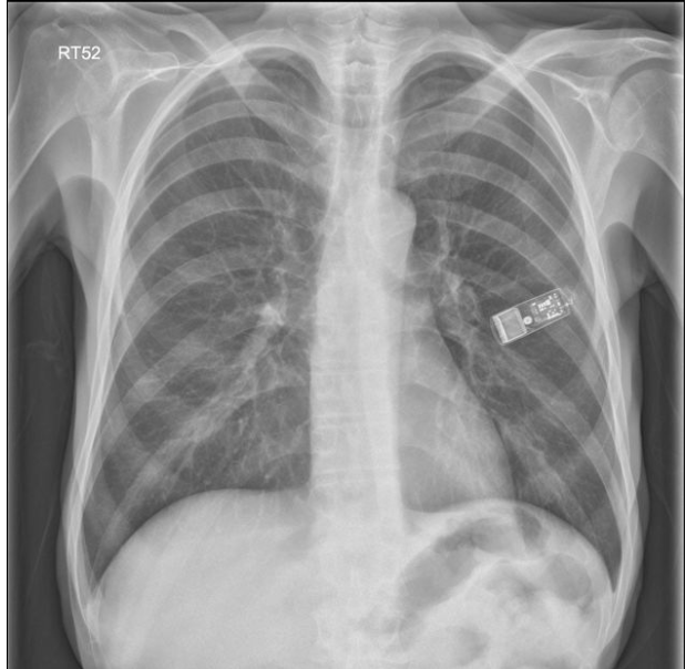
이식형 심장 사건 기록기 (ILR) 은 USB 메모리 스틱과 비슷한 납작한 모양의 작은 물체입니다. single-lead 심전도를 기록, 저장할 수 있는 기능을 가지고 있습니다. (최대 3년) 특정 서맥, 빈맥 부정맥이 발생할 경우 자동으로 심전도를 저장할 수 있습니다. 환자가 증상이 있을 때 추가적으로 심전도를 기록할 수 있습니다.

보통 left parasternal region 에 세로로 이식합니다. 최근에는 크기가 작아져 외래에서 피하주사하듯 간단히 이식이 가능해졌습니다. (Injectable ILR, Medtronic Reveal LINQ)

이식형 심장 사건 기록기의 기능
원인불명의 실신 진단
원인불명의 실신 환자에서 기존의 홀터모니터링, external loop recorder 등의 기존 검사 방법은 진단율이 낮았습니다. (20% 미만) 그러나 이식형 심장 사건 기록기를 사용한 경우 진단율이 50~80% 로 높았습니다. 원인불명의 실신이 반복되는 경우 이식형 심장 사건 기록기를 조기에 사용할 수 있습니다. 이를 통해 밝혀진 실신의 원인으로 동기능 부전이나 high degree AV block 같은 서맥성 부정맥이 가장 흔했습니다.

심방세동의 진단
심방세동이 의심되는 경우 오랜 기간 동안 심전도 모니터링을 가능하게 하여 진단에 도움을 줍니다. 또한 발작성 심방세동의 경우 원인이 모르는 뇌경색의 중요한 원인이 되므로, 원인불명 뇌경색 환자에서 심방세동 발견에 도움이 될 수 있습니다.
뇌전증과 실신의 감별
과거 연구에서 뇌전증 환자의 13~42%가 오진으로 밝혀졌으며 그 중 대부분이 실신이 원인이었습니다. 실신을 하면서 사지의 움직임이 동반 될 경우 (convulsive reflex syncope) 뇌전증과 감별이 어려울 수 있습니다. 이 때 이식형 심장 사건 기록기를 사용하면 심전도 변화 및 myopotential (muscle artifacts, tonic-seizure 에 동반되는 근전위) 를 보여주기 때문에 정확히 구별하는데 도움이 됩니다.
참고자료 : 웨어러블 심전도 (Wearable ECG)
참고자료 : 웨어러블 심전도 (Wearable ECG)
참고자료 : 불규칙한 심전도 리듬 해석 (Irregular rhythm)
참고자료 : 소아 심잡음 (Heart murmurs in pediatric patients)
