

무선 심박동기 마이크라 (Micra)


- 크기 : 지름 0.67cm, 길이 2.5cm
- 시술 : 피부 절개 없이 대퇴 정맥을 통해 심장 안에 삽입 (흉터 없음.)
- 배터리 수명 : 환자에 따라 다르지만 평균 12년 정도





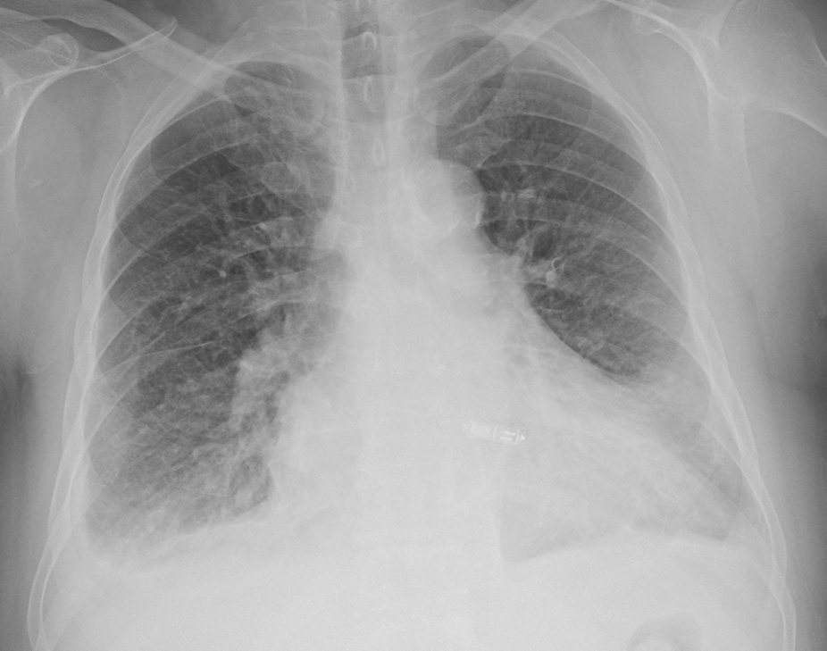
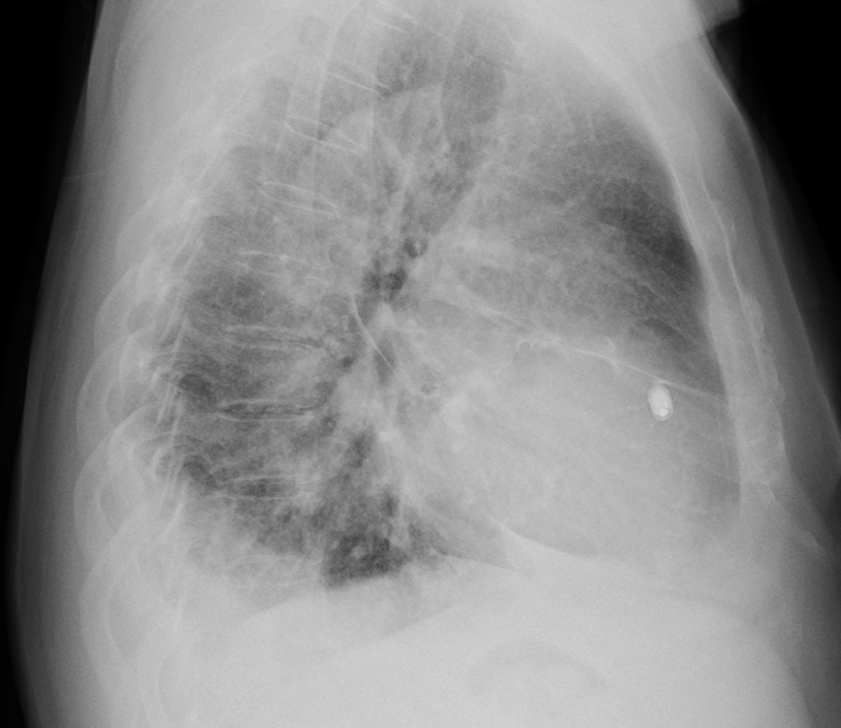
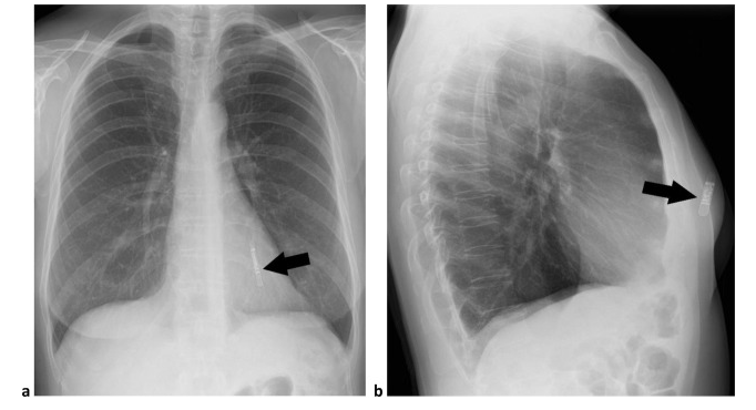
이식형 심장 사건 기록기 (Implantable loop recorder)

이식형 심장 사건 기록기 (ILR) 은 USB 메모리 스틱과 비슷한 납작한 모양의 작은 물체입니다. single-lead 심전도를 기록, 저장할 수 있는 기능을 가지고 있습니다. (최대 3년) 특정 서맥, 빈맥 부정맥이 발생할 경우 자동으로 심전도를 저장할 수 있습니다. 환자가 증상이 있을 때 추가적으로 심전도를 기록할 수 있습니다.
가장 작은 ILR 인 Reveal LINQ 는 4.48 cm x 0.72 cm 크기입니다.
