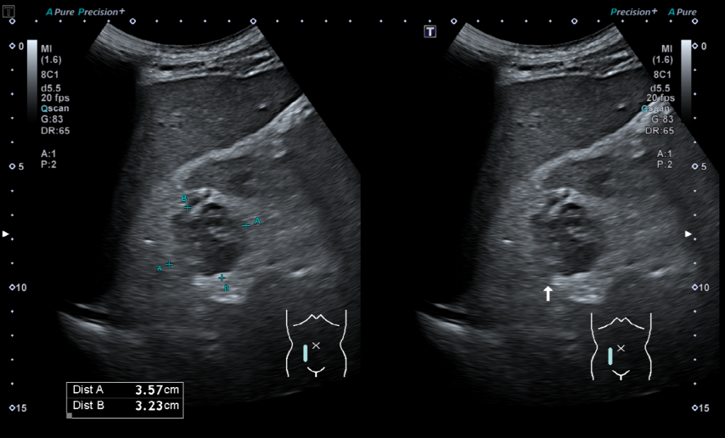
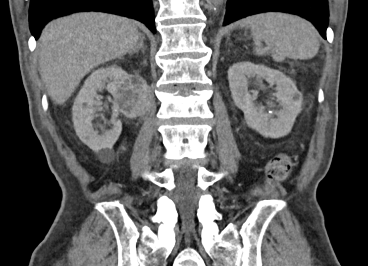
신장암 초음파 및 CT 케이스 2월 5, 2026 작성자: lupin21kr 관련 포스팅 : 췌관 확장 (Main pancreatic duct dilatation) 혈액검사에서 염소 (chloride, Cl)를 체크하는 이유 건강검진 결과지 해석 잘못된 사례 피검사로 암수치를 확인한다. 암표지자 종양표지자의 종류와 진실 8월 31일 부터 코로나 검사비용 자비로 부담해야 한다?