
교통사고 후 갈비뼈 골절로 흉부외과에 입원했다가 퇴원하신 분이 외래 초진으로 내원하셨다.
59세 여자환자였고, 가만히 보니 bone scan 에서 hydronephrosis 가 보인다는 것이다.

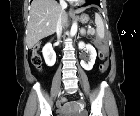
그래서 hydronephrosis 면 비뇨기과를 안가시고 왜 신장내과로 보냈을까하고 천천히 차트를 리뷰해보고 있는데, 이미 처음 응급실에서 찍었던 CT 에도 hydronephrosis 가 확인되었다.

요관을 따라서 내려가보면 중간에 결석이 보인다. 이분은 결석이 딱 걸려 있는데도 그 동안 통증이나 혈뇨 같은 다른 증상은 없었다고 한다.
그래서 올커니, 우리과 환자는 아니군. 하고 비뇨기과에 의뢰서를 작성하고 있는데, 이상하게 검사 결과에서 Ca 이 10.7 로 좀 높다. albumin 은 3.81 이었다.
칼슘이 높고, 요석이 생겼다? 뭔가 느낌이 쎄해서 소변검사 하고 기본 랩을 처방하고 다음주에 뵙기로 했다.
다음 주에 오셨을때 Ca 은 11.1 로 더 높았다. 24시간 소변검사에서는 단백뇨 255mg/day 정도, Ca 은 소변으로 410 mg/day 가 빠져나가고 있었다. 꽤나 많은 양의 칼슘이 빠져나가고 있다는 의미이다.
느낌이 더욱 이상해서 추가적인 검사를 진행한다.
일단 고칼슘혈증, 요관 결석에 대해 PTH, Vitamin D, Ionized Ca, TFT 등을 시행했고, BMD 도 처방했다.
그 밖에 Multiple myeloma 를 감별하기 위해 Protein Electrophoresis 를 했다.
intact PTH 는 46.7 (12-88) 로 정상 레벨로 확인되었다. ionized Ca 5.50 는 높았고, 25(OH) Vitamin D (D2+D3) 23.55 로 약간 부족한 수치이다. TFT 는 정상이다. 정신과 약을 복용하고 있었으나, 칼슘을 높일만한 리튬 등은 없었다.
Protein E.P (serum, urine) 에서 M protein 은 없었다.
PTHrP 도 나가야하나 생각해보았는데, CT 에서 cancer 가 의심될 만한 부분은 없었다.
BMD 에서는 T-score -1점대의 osteopenia 를 보였다.
현재까지 시행한 검사상 가장 이상한 점은
“Ca 이 11 이상으로 높은데도 불구하고 intact PTH 가 정상”이라는 점이다.
Hyperparathyroidism 을 의심할 수 밖에 없다.
그래서 MIBI parathyroid scan 과 Thyroid sono 를 처방했다.
제발 parathyroid scan 에서 걸려주길 기대하면서.
다음 사진은 20분 scan 이다. 갑상샘 전체에 골고루 표지자가 퍼져있다.

다음 사진은 3시간 뒤 scan 이다.

우측 갑상샘 엽에 아랫쪽에 남아있는 부갑상샘이 보인다. adenoma 가 의심이 된다.
이 사진을 보고 만세를 불렀다. 환자분께는 죄송하지만, 진단이 안된채 미궁에 빠지는 것보다 답답한 상황은 없기때문이다. 환자도 답답하고, 나도 답답하고.
이 타이밍에서 의사 국가고시 족보 중의 족보인 부갑상샘 선종의 수술 적응증에 대해 알아보자.

위 환자는 serum Ca. 에서 해당되고, 24시간 소변에서의 Ca level 에서도 해당이 된다. stone 도 있다.
따라서 현재 외과에 수술 의뢰를 드린 상태이다.
마지막으로 브레너 교과서의 고칼슘혈증 진단 알고리즘을 보자.
