50대 환자분, 처음 내원하신 분입니다. 왼쪽 어깨가 계속 아파서 정형외과에 가서 X-ray 를 촬영하였는데, 폐가 이상하다고 내과에 가보라고 해서 오셨습니다. 정형외과에서 촬영한 X-ray 사진을 스마트폰 사진으로 찍어오셨습니다. 스마트폰 액정으로 사진을 본 후 저는 속으로 ‘허걱’ 하고 짧은 비명을 삼켰습니다. 폐암일 것 같은 좋지 않은 느낌을 받았기 때문입니다. X-ray 사진은 다음과 같습니다.

아래 붉은 원안에 뭔가 종괴같은 음영이 보입니다. 크기도 굉장히 크고 대동맥 같은 중요 혈관 주변에 위치하고 있습니다. 호흡을 하여 공기가 지나다니는 기관과 기관지를 밀어내는 종괴같습니다. 크기나 모양, 주변 장기를 밀어내는 모양새가 심상치 않습니다. 왠지 왼쪽 어깨가 계속 아팠던 원인도 이 종괴 때문이지 않을까 싶습니다. 종괴 근처의 신경을 압박했기 때문일 것입니다.

X-ray 를 보고나서 가장 먼저 한 질문이, 혹시 흡연 여부입니다. 그런데 담배를 안피우신다고 합니다. 좀 더 자세히 여쭤보니, 최근 몇달전에 금연을 시작하였다고 합니다. 즉 과거 30년간은 담배를 피우신 것입니다. 오랫동안 흡연을 하신 분이 폐에 저런 종괴가 보인다면, 자연스레 폐암을 떠올리게 됩니다.
그렇다고 폐암일 것 같다고 갑자기 말씀드리면 너무 놀라실 수 있을 것 같아서, 차근차근 설명을 드립니다.
“폐에 하얗게 보이는 것이 있는데, 이것때문에 정형외과에서 내과로 가시라고 하셨나봐요. 이렇게 보이는 질환으로 폐렴일 수도 있고 결핵일 수도 있는데, 드물지만 폐암의 가능성도 있기때문에 좀 더 정밀하게 검사를 해야 할 것 같습니다. CT 를 촬영하여 폐렴인지, 결핵인지, 폐암의 가능성은 없을지 살펴보는 것이 좋겠습니다.”
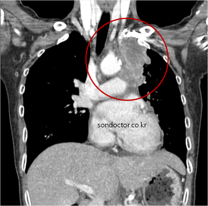
CT 를 촬영하였고 역시 9~10cm 되는 크기의 폐암이 의심되는 판독이 나왔습니다. 종양의 크기도 컸지만, 반대쪽 폐에도 전이로 의심되는 종괴가 있다는 점이 아쉬웠습니다. 즉 암세포가 반대쪽 폐까지 넘어가서 자라고 있다는 뜻이므로, 다른 먼 장기에도 전이되었을 가능성이 큽니다.



환자와 보호자분께 최대한 자세히, 이해하기 쉽도록 설명을 드렸습니다. 이 후로 몇번을 더 만나 상담을 하였고 현재는 상급병원으로 전원하여 치료를 이어서 받고 계십니다.
그 동안 계속 흡연을 하신 것.
비교적 젊은 50대 나이.
최근 수년간 기본 건강검진 엑스레이 촬영을 하지 않으셨던 것.
여러가지 아쉬움이 남습니다.