* 인용 출처 : Felsons Principles of Chest Roentgenology, 3rd ed
CT ratio (Cardiothoracic ratio)
Cardiac enlargement 를 판단하는 방법
CT ratio = [심장의 horizontal width] / [Thorax 의 widest internal diameter]
0.5 (50%) 가 기준 (upper limit of normal)
(AP image 는 cardiac magnification 으로 사용 못함.)

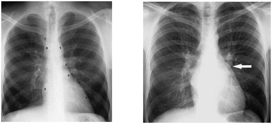
LA enlargement
: 앞에서 봤을때 margin 이 convex 해지고 laterally, posteriorly 튀어나오게 됩니다.


LV enlargement
PA view : Lt .heart border 는 laterally 로 이동 / cardiac apex 는 inferolaterally 로 이동
Lat. view : Lt. heart border 는 inferioposteriorly 이동


Rt. heart enlargement
PA view : 정상보다 오른쪽으로 좀 더 튀어나오게 됩니다.
Lat. view : Rt. heart 는 anteriosuperiorly 이동합니다. (앞쪽 윗쪽)


Cephalization
: Lt. heart pressure 의 상승을 의미합니다.
정상적으로 서있을 경우 pulmonary vessels 는 중력으로 인해 base 쪽에 혈액이 몰리게 됩니다. 따라서 lower lobe 의 vessle 보다 upper lobe 의 vessel 이 작아집니다. 그런데 upper lobe 의 vessel 이 lower lobe 의 vessel 보다 커지는 것을 cephalization 혹은 vascular redistribution 이라고 합니다. (heart 크기에 상관없이) cephalization 이 있다는 의미는 Lt. heart 의 pressure 가 증가되어 있다는 것을 뜻합니다.
Lt. heart failure 나 Mitral valve stenosis 의 경우 가장 흔한 cephalization 의 원인입니다. ASD 나 VSD 의 shunt 가 있을 때는 모든 vessel 이 enlargement 를 보입니다.


Interstitial edema
LA 의 pressure 가 올라가면 interstitial edema 가 발생합니다. edema 로 인해 vessel 의 sharp 한 margin 이 소실되며 (hazy), peripheral interstitial markings 가 더 뚜렷해집니다. 수분은 interlobular septa 를 두껍게 하여 흉막 표면으로부터 수직인 짧은 선을 만듭니다. (Kerley B line : interstitial edema 를 의미)


Alveolar edema
Severe edema 가 있는 경우 중력방향인 lower lung 쪽으로 edema 가 심해집니다. alveolar edema 로 인해 pulmonary vessel 은 보이지 않게 됩니다.

* Cephlization : 보통 청진에서 정상
* Interstitial edema : 청진에서 crackling 들림
* Alveolar edema : 청진에서 rales 들림
Pericardial effusion
현저하게 전체적으로 심장 실루엣이 커져있는데도 Left Heart failure 의 signs (cephalization, interstitial edema, alveolar edema 등) 이 없거나 매우 경미할 때는 Pericardial effusion 을 생각해야 합니다. (그 외에도 cardiomyopathy, multivalvular heart disease 도 비슷한 소견을 보일 수 있습니다.)
